愛媛大学医学部附属病院
川口直人 先生
はじめに
現在、様々なツールが進歩し、その利便性や革新性が求められている。そんな中、自分のお気に入りのツールは何なのか考えてみる。スマホの中には多種多様なアプリケーションが入り、サブスクで音楽を聴き、本や雑誌を読み、買い物や翻訳、ゲームも全て出来てしまう。しかし、放射線科医として、1日で1番触っているのは、スマホでもタブレットでもノートパソコンでも無い。間違い無く、画像診断システムであるViewerとレポーティングである。最近、当院に新しい画像診断Viewer、FUJIFILM社の「SYNAPSE SAI viewer」が導入された。画像診断のニーズに細かく対応する「利便性」とA(I 人工知能)を駆使した「革新性」を併せもつ、このViewerについて紹介する。
読影のストレス軽減
大学病院で勤務していると色々な関連病院に画像診断に行く機会が増えるため、必然的に様々な種類のViewerを使う事になる。それぞれ一長一短あるのだが、1番違いがあるのが画像同期の方法である。複数のシリーズを選択して同期する場合が最も多いが、たくさんのシリーズがあるMRIではかなり面倒くさい。さらに画像の拡大やウィンドウ条件の同期、同期の部分解除や全解除など、仕様はとにかく様々である。このSAI viewerの特徴はとにかく始めから全て同期する事である。肺野条件と縦隔条件、MRIの多数のシリーズは当然の事、過去画像までも全部同期する。これはAIを使って臓器を判別して位置を合わせているらしい。もちろん全てのスライスを完璧に同期するわけでは無いので初めは煩わしさがあったが、慣れてしまうととても便利である。ワンキーで同期解除や再同期が可能であり、また個々の画像だけ簡単に微調整する事もできる。実際に読影の大半は過去画像との比較をする必要があるのだが、検査リストから過去の検査を選択し、ダブルクリックすると、自動的に現在と過去画像が2画面上で並び、さらに全て同期されるため、画像を並べる手間が減り、読影を開始するまでの時間短縮になる。余分なクリックが減るだけでも、積み重なると大きなストレス軽減に繋がる。
また最近はCTの高速撮像の影響によりthin-sliceでかなりの枚数の読影を強いられる。必然的に多断面での評価が必要となり、最近のViewerはどれもMPR(多断面再構成像)を簡単に作れるものが多いが、SAI viewerはワンキーでSagittal像、Coronal像、MPRを同じWindow内に作成できる。とてもベーシックな事ではあるが、わざわざMPR viewを立ち上げる必要もなく、画像を瞬時に変換できるのは、読影時間短縮に繋がる。その他にもほとんどのツールをショートカットキーで行う事ができるため、使いこなしていくうちにもっと読影ストレスが少なくなるだろう。
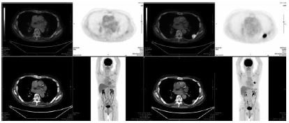
核医学ビューでさくさく比較
PETの読影は少し特殊である。これまではWorkstationでCT画像、PET元画像、Fusion画像、全身MIP画像を設定して、並べて表示する事が多かった。これが数回のクリックでViewer上に別のシートとして表示される。さらに特筆は過去画像との比較が容易にできる事である。図1は左側が今回、右側が過去画像の表示で、もちろん全ての画像が同期している。このビューを出すのに10秒かからないのだから、さくさく比較読影が可能となった。癌の治療効果判定などPETは比較読影する事が多く、画像シリーズを並べるだけで大変だったのが、大きな時間短縮につながった。さらにタグのクリック一つで全ての画像をSagittal像、Coronal像に変換できるのも便利である。VOI(volume of interest)でのSUV(standardized uptake value)測定はワンキーで可能であり、過去画像とのSUV値の変化をみるのがこれまで大変だったが、かなり簡単にできるようになった。さらに設定でMTV(代謝腫瘍体積)、TLG(総腫瘍代謝量)の測定値の表示が可能であり、基本的に研究ベースで使っていた値が、臨床に直結できるようになった。これらのViewerの進歩が、研究と臨床の間をつなぐ柱の一つになっていくのだろう。

肺の結節は見逃さない
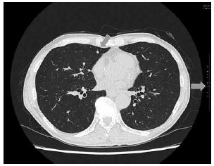
当院に導入されたSAI viewer にはAIを用いたいくつかの診断支援ツールが搭載されているが、その中でもっともよく使うのは肺結節検出のCAD(コンピュータ支援診断)である。ショートカットキーを押して数秒で、肺全体をスクリーニングして結節を検出し、チェックをいれてくれる(図2)。実際には肺野をじっくりみてから、確認のためにCADを走らせる事が多い。感度が高いので必要以上に拾ってしまうのだが、横のバーでは結節のサイズに合わせて矢印も大きくなるので、ある程度取捨選択ができる。少なくともこれで初期の肺転移を見逃す事はないだろう。日常診療における見落とし防止と、読影の負荷軽減に大いに役立っている。
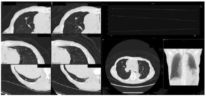
さらにクリックしてフォローアップ対象にすると、次から勝手にフォローアップしてくれる。フォローアップビューでは、対象の結節をピックアップし、経時的なサイズ変化がグラフに表示される(図3)。サイズも自動計測してくれるので客観性がある(計測方法は細かく設定変更できる)。このケースではフォローアップ期間が短いので変化は乏しいが、今後、長い経過をみるときにとても便利である。
もう一つの機能に肺結節の性状分析がある。肺の場所、性状、サイズなどをまとめて、いくつかの候補で所見にしてくれる優れものである(図4)。この症例では「左肺上葉S1+2に径17.1mm大の不整形の充実性結節を認めます。分葉状でスピキュラや胸膜陥入像を伴っています。内部に石灰化を伴っていますが、空洞や気管支透亮像は含みません。」と表示される。ここまで分析できるなら、この結節の肺癌の可能性を%で出せるようになる未来も近そうだ。



臓器認識とラベリングで読影をサポート
肺に結節があるときに、区域がどこか、気管支を追う事は珍しく無い。また肋骨骨折や椎体圧迫骨折があるときは、基本的には頭側から順番に数えていく事になり、少し時間がかかる。ここで「臓器ラベリング機能」を使うと瞬時にナンバリングをしてくれるのだ。図5aの肺結節は右肺下葉胸膜下にあるが、このようにきれいに色分けされてS6区域にあるという事が一目瞭然である。また、図5bは右第11肋骨に骨折を認め、これも瞬時にナンバリングしてくれる。もちろんいずれも変異が多い領域なので、確認が必要ではあるが、研修医など初学者の所見や勉強に活かしてくれると最終確定医としては非常に助かるツールである。

a 肺区域ラベリング
b 肋骨ラベリング
もう一つ、臓器認識ツールというのも使用できる。現在のツールでは肺野、肝臓、腎臓、脾臓、大腰筋、骨の領域を認識し、その容積を自動計測できる。たとえば多発嚢胞腎の進行度や予後を判定するのに腎容積を測定する事がある(図6a)。これまではMPR画像による簡易法やWorkstationでの計測が必要であったが、瞬時に計測できるためレポート内に反映させやすい。また大腰筋全体の筋肉量測定が瞬時に可能であり、近年注目されているサルコペニアの診断にも有用になるだろう(図6b)。

a 腎容積測定
b 大腰筋測定
まとめ
今回の内容は、機器紹介をしているわけではなく、実際に導入されたViewerの使用感を述べているだけなので、詳細はメーカーに確認してもらいたい。また、今回紹介した読影支援ツールが全てのSAI viewerに入っているわけではないので注意が必要である。
このViewer を総評すると「使いやすくて、新しい」ツールといえる。日常で様々な人が使用するため、誰でも簡単に操作ができて、かつ使いこむほどストレスが少なくなる、汎用性の高いViewerであることは間違い無い。さらに、AIを用いた計測機能を搭載し、これまで研究目的が主体で手間をかけて計測されてきた数値が、客観性をもって瞬時に計測される事で、実臨床にもっと反映されていく事になるだろう。これからの放射線科医はAIを使いこなさなければいけない、とはよく耳にする言葉だが、実際にどんどん臨床現場に導入されてきている事に驚きと喜びがある。そして今後はもっとAIが進化していく事は間違い無い。決して我々の仕事がどんどん楽になるわけでは無いが、AIが搭載されたViewerを駆使する事で、より質の高い画像診断が可能となるであろう。