地方独立行政法人秋田県立病院機構秋田県立循環器・脳脊髄センター放射線科診療部
大村知己
はじめに
外科手術では、術者は安心安全な手技のため術前に様々な情報を駆使してシミュレーションを行う。シミュレーションにおいて、医用画像をソースとして立体的構造構築と表示が可能な医用画像処理ワークステーション(WS)は、今日の医療現場で欠かせない存在となっている。WSでは、“画像処理” に特化した様々なアプリケーションとツールが存在する。それらは各社WSで特色がある中、当院で稼働するziostation2は実に多彩な機能を有し、脳神経外科領域の手術支援画像作成において活用している。ここでは、いくつかの機能について、手術支援画像作成の流れをもとに活用例を紹介していきたい。
画像データの展開
脳神経領域では対象構造の大きさ、および描出が必要な組織の多様さから、それぞれの描出に適した画像データを用いて画像処理を行うため、WSではそれらを同時に展開できる機能が必要である。CT画像では、血管描出精度を担保するために、頭部全体のサイズに加えて術野サイズの拡大再構成データが必要である。また、骨表示用、脳実質用の画像データも必要である。MRI画像では、脳腫瘍には造影データ、頭蓋底部の病変では脳神経描出用の画像データが必要である。多くの画像データが必要となるが、高品質の術前画像を作成するためには、どれも欠かすことのできない重要なものである。これらのデータハンドリングにおいて、ziostation2の、“マルチデータフュージョン” では、一度に8個の画像データを展開可能であり、不足無くデータハンドリングが行え、とても重宝している(図1)。
血管構造の構築において、画像データは動静脈が強く造影されたタイミングで取得される。この場合、後述する画像処理で動脈と静脈を切り分けるが、ziostation2では切り分け後の動脈と静脈を個別に画像データとして保存が可能である。例えば、先立って施行したCT検査で血管データをあらかじめ作成、データ保存し、後日施行したMRIデータと“マルチデータフュージョン” で展開し、画像処理するケースをよく経験する。こうした時に最も“マルチデータフュージョン” の効果を実感できる。

多彩なマスクツール
必要な画像データを展開した後は処理作業となる。脳神経領域での処理作業のメインは、血管構造における動静脈の分離である。頭部CT-Angiographyでは、撮影において脳神経領域の手術支援画像に必要な精度での動静脈の分離は不可能と考える。これは造影剤動態とCT値に関連する事項であり、CT値の担保を重視すると動態的に動脈のみ、静脈のみに合わせた撮影が不可能となる。ツールの使いやすさは画像作成の精度に深く関わるため、ziostation2の多彩なマスクツール機能は高精度な画像処理の実現において、欠かせないものである。
例えばカットツールは一般的な機能であるが、フリーライン、リージョングローイング、dilation/erosion、マスクコピーなどのツールを使いこなすことで、ストレス無く細かい構造の処理も可能となっている。もちろん実際に手術をした経験は無いのだが、正に手術をするようにじっくりと丁寧に手を掛けられるツールが多数ある。フリーラインツールは一画像ごとに手動で領域を囲むことでマスクの指定が可能な機能である。カットツールでは難しい、癒着した構造の切り離しが容易となる。一画像ごとの手動操作となると非常に手間がかかる印象を持つが、直線的な構造では数画像ごとの領域指定を行えば、その間の画像は領域指定された前後画像のマスク領域を補間するため、精度の必要性に応じて処理への手の掛け方が加減できる。
リージョングローイングツールは指定箇所から連続性のあるボクセルを自動追跡する機能であり、どのワークステーションでも標準的なツールである。ziostation2では、リージョングローイングツールの一種としてエクステンダー機能を有し、描出したい構造の種類よっていくつかのタイプが準備されている。“細血管用” では頭蓋内の微細な血管の抽出にも対応可能である。微細血管の抽出はフリーラインなどでも可能だが、個人的には他の連続性のある構造も含めて一度エクステンダー機能で抽出しておき、その後フリーラインなどで余計な構造を取り除いていく作成手法を行なっている。この進め方では、必要な箇所を含んだ領域から不要なものを消去するため、表示させるべき血管の取り残しが無いと考える(図2)。

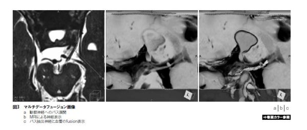
dilation/erosionはziostation2での“盛り上げる/削る” ツールであり、脳神経の抽出にとても有効である。脳神経は細いもので1mm程度の構造であり、MRIが描出に優れる。脳動脈瘤では発生箇所や大きさによって視神経や動眼神経が圧排され、神経症状を来す。したがって、こうした動脈瘤の治療では、術前画像において脳神経の描出も求められる。ziostation2で脳神経を抽出する手順の第一は、同定と明瞭な走行表示である。脳神経は多くが直線的な構造であるため、3軸の回転によって神経を明瞭に描出させる。この後、神経に沿ってパスを引く作業を行う。そして、パスを“盛り上げる”、もしくはパスを“削る”→ “反転決定” によって、簡便に神経の抽出が実現できる。神経圧排症例では、動脈瘤など病変構造に圧排されている脳神経の形状に追従してパスを引いて行けば抽出が可能である。また“マルチデータフュージョン” でCT、MRIの画像デ―タを展開する事で、脳神経と血管などを含む構造も明瞭に立体表示が可能となる(図3)。

自動処理ツール
自動処理ツールは現在多くのWSで実装されている。機能の具体性としては、人体構造における血管・臓器の抽出、更には臓器構造の分割機能である。冠動脈や肝臓の区域分割では多くのユーザーが恩恵に預かっていると思われる。ziostation2では、脳神経領域において2つの自動処理ツールが実装される。一つは、頭部画像から脳実質のみを抽出する自動脳抽出ツールである。脳神経領域の手術支援画像では、病変へのアプローチにおいて脳表の状態を表示しなければならない。この場合、主に単純CTから脳実質を抽出して血管構造とのfusion表示を行う。脳実質は頭蓋骨とのCT値に大きな差があり骨との分離は容易であるが、頭皮とは骨を挟んではいるがその分離は意外に容易ではない。分離はいくつかの手順を踏めば数分で可能だが、構造だけにいわゆるコスパ的に結構なストレスを感じる。それが、自動脳抽出ツールではワンクリックで精度良く抽出が実現できるため、大変重宝するツールである。脳表の表示は、脳神経領域の手術支援画像において、どの疾患・症例にも共通したものであるため、とても有用なツールと考える(図4)。

もう一つのツールは、脳動静脈分離ツールである。前項で述べたとおり、動静脈の分離は様々なマスクツールの機能で実現可能である。ただし、解剖学的にはかなりの専門性が必要となる。また、良い意味で手間が掛けられる反面、処理時間もそれなりに要する。これまで、3D画像処理は手間暇を掛けるのが当然の認識であったが、ワークフローへの組み入れやすさ、働き方改革に即した機能も現在のWSには求められるツールと推察する。脳動静脈分離ツールでは初めにシード抽出で大まかな分離が行われる。その後、自動分離を実行すると、シードを元に連続性や形態の認識機能も働き、抹消血管まで分離が進む。現在、分離精度はかなり向上しており、シード抽出など脳動静脈分離ツールの処理段階で解剖学的知識をもとに手を加えると、個々で異なる血管形態にも高精度で分離が可能となる。従来のマスクツールのみでの分離よりも、手間を掛けずに同様の精度を担保することが可能となっている(図5)。
さいごに
画像処理に意識が高い診療放射線技師にとって、医用画像WSは武士の刀の様な存在であり、自身の手の様に使いこなせる機能の実装が望ましい。WSの画像処理技術は、deep learning技術の導入にもよって、近年目覚ましい発展を遂げている。ユーザーはその恩恵を享受しながら、より良い画像作成に努めて医療社会への貢献を図らなければならない。そして、忘れてはならないのが、我々のワークフローを支えて下さっているメーカーさんへの感謝である。時には、更なる技術発展のためにユーザーの声として届け、お互いに切磋琢磨し合う良好な関係性を継続できれば幸いである。