シーメンスヘルスケア、デジタルと0.55テスラの融合により、これまでの常識を覆すHigh-V MRI MAGNETOM Free.Max」を新発売
- デジタルと新しい磁場強度0.55テスラの融合により、新しい価値を提供
- MRI導入の経済性と設置の柔軟性を追求
- AI技術を用いて開発されたアプリケーションにより、複雑なオペレーションから解放
- 被検者の快適性を追求するとともに、質の高い医療へのアクセスを向上
シーメンスヘルスケア株式会社(東京都品川区、代表取締役社長: 森 秀顕、以下 シーメンスヘルスケア)は、デジタルと0.55テスラを組み合わせて新しい価値を提供するHigh-V MRI「MAGNETOM Free.Max(マグネトム フリーマックス)」の販売を本日より開始した。
1980年代にMRIが臨床利用されはじめるなか、Siemens Healthineersは1983年に0.35テスラMRIを日本国内で初納入した。その後1.5テスラ、3テスラといった高磁場化の技術開発および導入が進み、さまざまな撮像技術が進歩した。さらには超高磁場の7テスラも開発され、海外では臨床応用が進んでいる。その一方、高磁場化に伴う問題もあり、数年前からISMRM(国際磁気共鳴医学会)などの国際学会において、改めて低磁場MRIの可能性に注目が集まっている。
これまでは、低磁場(1.5テスラ未満)MRIは、「低画質」、「撮像時間が長い」というのが一般的な常識であった。コンピュータ技術の進歩により、MRIの技術においてもデジタル化が進み、今回新たに開発したのが0.55テスラMRIだ。デジタルと0.55テスラの融合により、これまでの常識を覆す「高画質」、「撮像時間の短縮*1」を実現した。従来の低磁場の限界を超えて、1.5テスラMRIに近い高画質を実現するとともに、高磁場では困難だった部位の臨床応用を可能にし、ひとりでも多くの被検者が質の高い医療へアクセスできるよう、これまでにない低磁場MRIを提供するだろう。シーメンスヘルスケアとして低磁場MRIを本格導入することにより、今後日本におけるMRI製品の新たな市場を開拓していく予定だ。この0.55テスラMRIの製品カテゴリーとして名付けたHigh-Vは、高いバリューをご提供するという意味を込めている。
■MAGNETOM Free.Maxの特長
デジタルと新しい磁場強度0.55テスラの融合
デジタル化により高画質と撮像時間の短縮を実現するべく、画像再構成にAI技術を用いて開発されたのがDeep Resolve(ディープ・レゾルブ)だ。
Deep Resolveは、ディープラーニング(深層学習)とターゲットデノイジング(ノイズの標的除去)により画像のノイズ除去や撮像した画像を高分解能化することで、高品質な画像の取得と撮影時間の短縮*1を可能にする。検査精度やワークフローの向上のほか、被検者の快適性や質の高い医療へのアクセス向上が期待される。

インプラントイメージングにも有用(一例)
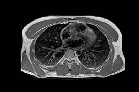
空気と組織の境界では、磁化率*2の大きな差により信号強度が著しく低下するため、高磁場MRIでは肺の検査が難しいのが現状だ。新しい磁場強度0.55テスラでは、磁化率アーチファクトが少ないため、肺のイメージングを改善し、新しい臨床応用を可能にする。
また、金属インプラントを挿入した被検者のMRI 検査も増加しているが、新しい磁場強度0.55テスラは金属アーチファクトの低減につながるため、インプラントイメージングにも有用だ。
ルーチン検査においても高画質と撮像時間の短縮*1を実現し、信頼性の高い診断に貢献するだろう。


イメージング


MRI導入の経済性と設置の柔軟性
MAGNETOM Free.Max は、MRIの設置にかかるコストをはじめとする全体的な経済性の改善により、収益性の高い経営の推進に貢献する。例えば、ライフサイクルコストを大幅に削減するための数々のイノベーションを採用している。また、最もコンパクトなサイズ設計*1を実現し、設置の利便性を高めている。
•独自のDryCoolテクノロジーにより、使用液体ヘリウムは わずか 0.7リットル
• sealed-for-lifeマグネット設計により、液体ヘリウムの補充が不要
• クエンチパイプが不要なため、設置の柔軟性が向上し、設置コストが低減
• 装置総重量 3.2 t 未満
• 総設置面積 24 m²
• 搬入経路高 2m 未満


操作者を複雑なオペレーションから解放
これまでの製品に導入してきた、AI技術を用いて開発された最新のアプリケーションを搭載しており、操作者の経験レベル、被検者の状況、検査数に関係なく、高画質を一貫して安定的に提供。
• myExam Companion
デジタル化とAI技術により、膨大なデータを専門知識として統合し、被検者ごとにカスタマイズされた検査支援を提供。
• myExam Autopilot
操作者のスキルレベルに依存せず、ボタンをワンクリックするだけで頭部、脊椎、膝のルーチンMRI 検査を実行でき、一貫した検査結果を提供。
• BioMatrix Select&GO
検査に必要な情報を簡単に確認し、ワンタッチで撮像目的部位へのポジショニングが可能となります。ポジショニングにかかる時間を30%短縮*1し、スループットが向上。
被検者の快適性と質の高い医療へのアクセシビリティ
世界初*3 の80 cmオープンボアにより、閉所恐怖症や検査に不安を持つ被検者や体格の大きな被検者の検査だけでなく、これまで難しかった患部を大きく曲げた状態で行うMRI 検査にも対応可能。

*1: 自社比
*2: 物質の磁化の起こりやすさを示す物性値
*3: 2021年11月現在
本製品に関する情報は、Siemens Healthineersホームページの製品紹介ページをご覧ください。
MAGNETOM Free.Max: https://www.siemens-healthineers.com/jp/magnetic-resonance-imaging/high-v-mri/magnetom-free-max

MAGNETOM Free.Max
超電導磁石式全身用MR装置
MAGNETOM フリー マックス
認証番号:303AABZX00069000
報道機関からのお問い合わせ先
シーメンスヘルスケア株式会社
コミュニケーション部 渡辺
TEL: 090-2159-0138 E-mail: keita.watanabe@siemens-healthineers.com
シーメンスヘルスケア株式会社 広報代理店
バーソン・コーン&ウルフ 担当:中村、田中
TEL : 070-4504-0798 / 070-2160-1779 E-mail: Siemens.pr.tokyo@bcw-global.com
グローバルサイト: www.siemens-healthineers.com
日本のウェブサイト: www.siemens-healthineers.com/jp/