AI技術1)を活用して頭部CT画像の読影を支援
3D画像解析システム「SYNAPSE VINCENT²)」向けアプリケーション
「脳解析」ソフトウェア 新発売
富士フイルム株式会社(社長:助野 健児)は、AI技術1)を活用して頭部CT画像から、周辺組織と比較して高信号および低信号領域³⁾を強調表示する画像診断支援機能を搭載した「脳解析」ソフトウェアを開発した。一般的に高信号及び低信号領域は脳卒中診断の際に脳の出血状態や虚血領域の評価に活用されている。本ソフトウェアを、当社の3D画像解析システム「SYNAPSE VINCENT(シナプス ヴィンセント)」のアプリケーションとして富士フイルムメディカル株式会社(社長:川原 芳博)を通じて2021年5月に発売する。
なお、4月16日~18日にパシフィコ横浜(神奈川県横浜市)で開催される「2021国際医用画像総合展(ITEM2021)」に本ソフトウェアを出展予定である。
脳卒中(脳梗塞・脳出血などの脳血管疾患)は、国内で年間約30万人が新たに発症していると言われる疾患で⁴⁾、がん、心疾患、老衰に次いで死因の第4位とされ、年間約10万人が脳卒中で命を落としている⁵⁾。脳卒中が疑われる場合には、まず頭部CT画像から出血の有無を確認し、出血がある場合は薬物治療や手術治療が行われる。出血がない場合は、脳梗塞(血栓等により脳内血管の血流が悪くなる状態)の有無を確認する。脳梗塞があると栄養や酸素が脳内の組織に行き渡らず、脳の神経細胞が壊れてしまうため、早期に治療を開始することが重要である。脳梗塞は、発症後4~5時間以内に血栓を溶解して詰まった脳動脈を再開通させる血管内治療(静注血栓溶解療法)が有効とされており、速やかな診断が求められる。しかし、夜間や救急の現場では、限られた人数の医師が出血箇所や梗塞領域の確認を行う必要がある。医師の負担を軽減して効率的な画像診断ワークフローを実現するソリューションが必要だ。
今回発売する「脳解析」ソフトウェアの特徴
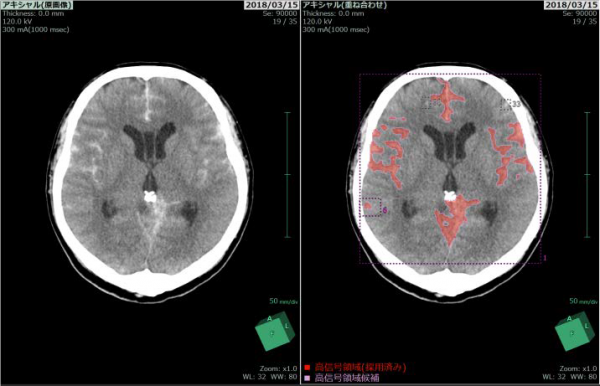
1.高信号領域・低信号領域の強調表示
頭部CT画像の高信号および低信号領域に色をつけて強調し表示される。これらは脳内の出血領域や虚血範囲の評価に用いられ、頭部CT画像診断の支援に繋がることが期待されている。

左 画像解析前
右 画像解析後
高信号領域(画像上、周囲と比べて白っぽい領域)を強調して赤色で表示する。

左:画像解析前、右:画像解析後
低信号領域(画像上、周囲と比べて黒っぽい領域)を強調して青色で表示する。

左 画像解析前
右 画像解析後
低信号領域の抽出結果(四角で囲った部分)と、10区域に分割した中大脳動脈領域を色分けして表示する。

ASPECTSの結果
中大脳動脈領域に低信号領域がない場合は10点、全区域に低信号領域がある場合は0点となる。この画像では9区域に低信号領域が広がっており、ASPECTSは1と算出されている。
脳梗塞の場合、CT検査に加えてMRIでより詳細な検査を行い、治療方針を決定することがある。「SYNAPSE VINCENT」は、脳組織や血液中に含まれる水分子の拡散度合いを解析し、脳梗塞が疑われる領域の評価を行う「ADCマップ」ソフトウェアや、CTやMRI画像から血流の状態を解析して血流量や血液量を算出する「パフュージョン」ソフトウェアを提供しており、今回発売する「脳解析」ソフトウェアと組み合わせてお使いいただくことで、脳卒中の画像診断ワークフローに活用できる機能を一貫して操作することができ、効率的な診断ワークフローを実現。
なお、本機能は今後、画像診断ワークフローを支援する当社のAIプラットフォームのアプリケーションとしても展開していく予定である。
3D画像解析システム「SYNAPSE VINCENT」について
SYNAPSE VINCENTは当社の画像認識技術を活かして、CTやMRIなどの断層画像から高精度な3D画像を描出し解析する3D画像解析システムである。医療画像を立体的に可視化することで、画像診断や手術シミュレーションなどに活用できる。2020年8月から提供している新バージョンでは、AI技術※1を活用して開発した各種解析機能を提供している。さらに、当社のPACS「SYNAPSE」やAIプラットフォーム「SYNAPSE SAI viewer」などの各システムとシームレスに連携し、効率的な診断ワークフローをサポートしている。
富士フイルムは、AI技術ブランド「REiLI」のもと、医療画像診断支援、医療現場のワークフロー支援、そして医療機器の保守サービスに活用できるAI技術の開発を進めるとともに、医療機関にとって最適な提供方法・利用環境を実現することで、多くの医療機関・医師の画像診断支援やワークフローの改善に取り組んでいく。
1) AI技術のひとつであるディープラーニングを設計に用いた。導入後に自動的にシステムの性能や精度が変化することはない。
2)SYNAPSE VINCENT
販売名:富士画像診断ワークステーション FN-7941型
認証番号:22000BZX00238000
3)CTは身体を通過したX線量の差を画像化します。X線の透過しにくい(高吸収)領域は高信号領域と定義され、一般的に画像上では周りと比べて白っぽく写る。また、X線の透過しやすい(低吸収)領域は、低信号領域と定義され、一般的に画像上では周りと比べて黒っぽく写る。
4)「平成29年患者調査の概況」厚生労働省ホームページ
https://www.mhlw.go.jp/toukei/saikin/hw/kanja/17/index.html
5) 「平成30年(2018)人口動態統計月報年計(概数)の概況」厚生労働省ホームページ
https://www.mhlw.go.jp/toukei/saikin/hw/jinkou/geppo/nengai18/dl/kekka.pdf
6) Alberta Stroke Program Early CT Scoreの略で、Early CT sign(早期虚血サイン)を定量化したスコア法。
7) 本機能によって強調表示された領域や算出されたスコアは医師が必要に応じて修正することができる。
システム名称:SYNAPSE VINCENT
販売名:富士画像診断ワークステーション FN-7941型
認証番号:22000BZX00238000
アプリケーション名称:脳解析ソフトウェア
発売時期:2021年5月
本件に関するお問い合わせは下記へ。
富士フイルムメディカル株式会社 営業本部 マーケティング部
TEL:03-6419-8033