富士フイルム株式会社(本社:東京都港区、代表取締役社長・CEO:後藤禎一氏)は、医師の画像診断ワークフローを支援するAIプラットフォーム「SYNAPSE SAI viewer(シナプス サイ ビューワ)」の新バージョン「SYNAPSE SAI viewer Ver2.6」を、富士フイルムメディカル株式会社(本社:東京都港区、代表取締役社長:川原芳博氏)を通じて1月31日より提供開始する。
富士フイルム株式会社は、AI技術を用いて医師の診断精度向上と読影業務の効率化を図るビューワとして、2019年に放射線科向け読影ビューワ「SYNAPSE SAI viewer」を発売した。発売以降、CT画像向けを中心に読影支援機能を継続的に拡充。併行してMRI画像向けの機能拡充に向けた技術開発を進めてきた。MRI画像はシーケンスや撮像条件が多岐にわたるため、CT画像よりもAI技術開発の難易度が高いとされている。富士フイルム株式会社は、CT画像向けに構築した技術をMRI画像に転用できるAI技術の開発に成功し、MRI画像向けの読影支援機能を拡充している。
今回提供を開始するVer2.6では、頭部MRI画像向けの3つの読影支援機能を搭載した。具体的には、①頭部FLAIR画像から高信号領域、頭部T2強調画像から低信号領域を抽出する「頭部FLAIR高信号強調フィルタ/頭部T2低信号強調フィルタ」、②非造影T1強調画像に対して脳区域をラベリングする「脳区域ラベリング(MR)」、③MRA画像の血管観察を容易にする「MRA脳抽出」である。
また、CT画像読影支援機能もさらに進化させ、リンパ節抽出機能の対象範囲を拡充した。Ver2.0で提供済の「縦隔・腋窩リンパ節抽出」機能に加え、今回、頸部・腹部のリンパ節を抽出する「CT頸部・腹部リンパ節抽出」機能を新たに搭載した。
「SYNAPSE SAI viewer Ver2.6」で追加した機能の主な特長は以下の通りである。
MRI頭部読影支援機能
① 頭部FLAIR高信号強調フィルタ/T2低信号強調フィルタ
脳ドックや頭痛で受診する被検者へのMRI検査では、白質病変や微小出血などを見つけて定量化を行い、脳出血の経過観察の患者へのMRI検査では、浮腫や出血のフォローアップを行う。また、近年国内で急速に普及しているアルツハイマー型認知症の治療薬の投薬前には、スクリーニング目的でMRI検査を実施する。さらに、投薬中の患者に対しては副作用のモニタリングとして、定期的にMRI検査を実施し、脳内の異常所見の有無を確認する。
今回リリースする「頭部FLAIR高信号強調フィルタ」は、FLAIR画像から周辺組織と比較して高信号の領域を抽出する機能である。一般的に、頭部FLAIR画像で高信号となる領域は白質病変や多発性硬化症、浮腫であることが多く、本機能により、これらの所見の診断支援に繋がることが期待される。
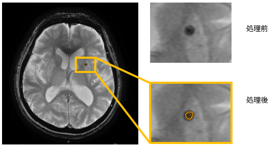
「頭部T2低信号強調フィルタ」は、T2強調画像から周辺組織と比較して低信号の領域を抽出する。
一般的に、頭部T2強調画像で低信号となる領域は出血であることが多く、本機能により微小出血の診断支援に繋がることが期待される。今回拡充する「脳区域ラベリング(MR)」機能の解剖情報を反映した所見文候補作成支援機能と併用することで、読影ワークフロー全体を支援する。



② 脳区域ラベリング
「SYNAPSE SAI viewer」に既載の「脳区域ラベリング」(頭部CT画像において頭部を34区域にラベリングする機能)に続き、MRI画像にも対応した「脳区域ラベリング(MR)」を新たに提供する。本機能では、読影レポートに記載頻度の高い「中心前回」「中心後回」や、脳梗塞や脳出血、白質病変の好発部位である「内包前脚」「内包後脚」などを含め、非造影T1強調画像から脳111区域のラベリングを可能にする。医師は画像上で特定の脳領域を容易に同定することができるため、脳疾患の読影支援に繋がることが期待される。
また、ラベリングした各領域の体積を算出・表示することも可能で、指定した脳領域の経時変化をグラフ表示することも可能である。


③ MRA脳抽出
脳動脈瘤は、破裂してくも膜下出血を起こせば約半数が死亡、残り半数にも重篤な後遺症を残し社会復帰が困難になる疾患である。そのため、脳ドックや頭痛、めまいの精査では、MRI検査で脳動脈瘤が破裂する前に見落としなく診断し治療することが重要である。脳動脈瘤の診断ではMRA画像がよく用いられるが、脂肪や筋肉、眼球などは脳動脈瘤の発見の妨げになる恐れがあるため、除去して読影することが一般的である。
今回、MRA画像において血管観察を容易にする「MRA脳抽出」機能を搭載した。血管観察において不要領域(眼球・顔の筋肉)を削除したVRまたはMIPを表示することができる。また、前方循環/後方循環の領域のみに限定した表示も可能である。

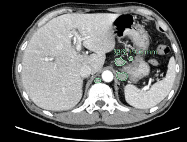
CT頸部・腹部リンパ節抽出
リンパ節は全身に存在しており、想定外の箇所が腫大することもあるため、読影に大きな負担がかかっている。従来、CT画像(造影・非造影)において、縦隔・腋窩リンパ節の抽出が可能だったが、今回、頸部・腹部(大動脈周囲、骨盤部)でもリンパ節の抽出ができるように対象範囲を拡充した。縦隔・腋窩だけではなく、頸部・腹部も含めた箇所における腫大傾向のリンパ節を拾い上げ、自動で短径計測を行う。癌の転移検索の支援に繋がることが期待される。



お問い合わせ
富士フイルムメディカル株式会社
マーケティング部
E-mail:shm-fms-hansoku@fujifilm.com