インジェクタ
新たな臨床ニーズに応える循環器用造影剤インジェクタ
造影剤と生理食塩液の同時注入機能を搭載した循環器用造影剤自動注入器です。

MRI
あなたの「したい」を叶えるMRIインジェクタ
MRXperionは、革新的テクノロジーを装備し、0.7~3テスラMRIに対応したグローバルスタンダード。造影検査の「したい」を叶えるMRIインジェクタです。

AI
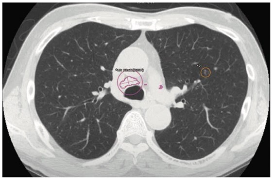
Plus.Lung.Nodule
Plus.Lung.Nodule は、胸部CT画像に対して読影を支援するための様々なROIを表示するAIです。

Plus.CXR
Plus.CXRは、胸部一般撮影画像に対して読影を支援するための様々なROIを表示するAIです。
Radimetricsさらにその先の未来に向けた医療放射線管理システム
CT装置、血管撮影装置、核医学装置・・・。検査装置から発生する画像データを自動で受信し、検査で照射された放射線線量ももれなく一括管理することで患者様にとってより適切な検査環境の実現をサポートします。

CT
造影検査のワークフローを変える、 タスクシフト時代のCTインジェクタ
MEDRAD®Centargo CTインジェクションシステムは、24時間連続使用可能な専用の消耗品と、充実したオート機能の搭載によって利便性と経済性を追求した製品です。ブースでは、Centargoの利便性を実際に体感いただけます。加えて、被ばく線量管理システムRadimetricsと併用いただくことで実現できる充実した患者ごとのデータ元管理の事例をご紹介いたします。

CT
プロトコル設定を支援するソフトウェアDO LESS. を追求. さらなるCARE MORE. へ
Smart Protocolsは、一人ひとりの患者さんに最適なプロトコルを自動で算出し、画像のコントラストを標準化します。本ソフトウェアは、CT用造影剤インジェクタMEDRAD®Centargoに搭載されています。

Cブロック
ブース No.C4-06