広島大学病院 診療支援部 画像診断部門 横町和志

はじめに
今回私が紹介する装置は、GEヘルスケア・ジャパン社(以下、GE社)製のRevolution CT(図1)である。
この装置は、RSNA2013でフラッグシップモデルとして発表され、当院には2016年に導入された。Revolution CTは「CT装置に求められるカバレッジ、空間分解能、時間分解能、デュアルエネルギーイメージング技術を有することで、CT検査に関わる多くのニーズに対応するためにGE社の技術を結集して開発されたCT装置です」とホームページにコンセプトが示されている。今回はユーザーとして私見を述べる。
カバレッジについて
Revolution CTは、GE社初のwide coverage装置で体軸方向に160mm撮影可能である。この160mm撮影可能な装置の有用性は、広範囲な灌流撮影4D検査、心臓検査などがあげられる¹⁻³)。その中でも多くの施設に貢献しているのが心臓検査である。心臓CT検査において診断の妨げになっていたバンディングアーチファクトや、撮影技師泣かせの最適心位相を合わせる各撮影位置のedit作業はwide coverage装置のおかげで不要になった。これは、臨床現場においてwork flow改善に非常に貢献している。
さてここで、wide coverageの撮影で懸念材料である体軸方向におけるヒール効果や散乱線の影響による画質ムラは無視できるのだろうか? これに対し、簡単な実験を行ったので紹介する。120kVで350HUとなるよう調整した希釈造影剤を封入したペットボトルを1回転で撮影し冠状断で再構成した(図2)。画像を見ていただければわかるように、体軸方向に画像ムラが生じていない。これによって、頭部のようなCT値差の小さな領域の画質も良好となる。CT値のSDに対する体軸方向への影響については、辺縁部では線量不足によりノイズが増していたが、最近搭載された新X線管球では辺縁部においても良好な画質を維持している(図2)。

空間分解能について
空間分解能について、Revolution CTにはhigh resolutionモードが使用可能で、通常モードが1回転984viewのところhighresolutionモードは2,496viewとなる。この恩恵は面内解像度が上がることはもちろんだが、オフセンターにおける解像度が従来と比較し低下しにくいところにある。ワイヤー法を用いてアイソセンターと20cmオフセンターのMTFを比較した結果、アイソセンターの結果には劣るが、オフセンターにおいてHDモードでは、通常モードと比較してMTFが改善した。これにより、アイソセンターに配置困難なことに加えて、高解像度の画像が必要な整形や心臓領域の撮影に有用である。スリットファントムの画像を図3に示す。通常の撮影モードで通常の軟部関数で再構成したもの(図3a)、HDモードで撮影し通常の軟部関数で再構成したもの(図3b)、HDモードで撮影しHD骨関数で再構成したもの(図3c)を示す。HDモードの分解能が優れていることは明瞭である。では、臨床画像ではどうだろうか。図4に心臓CTのCPR(curved planar reconstruction)画像を示す。HDモードには、通常関数に加えHD関数というさらに高解像度関数が用意されているため、これを用いることで図4bのように軟部関数でも高解像度の画像を提供することが可能となる。このように、心臓CTのような高解像度の必要な軟部領域に非常に有用である⁴)。


dual-energy imagingについて
GE社は、Revolution CTを発表する前からdual-energy imaging(GE社ではGSI:Gemstone Spectral Imagingと呼ぶことが多い)を臨床応用されている。GE社のGSIを支える技術として、従来のGOSを使用した検出器と比べ100倍の発光感度を有するGE社独自のGemstoneガーネットシンチレーターとX線のエネルギーを超高速に切り替える事を可能とした高性能ジェネレーターがある。この技術を用いることで2つの異なるエネルギーをほぼ同時に収集することが出来る。2つの異なるエネルギーに収集時間差が無いこと、投影位置方向のずれが無いことで正確な生データベース解析が可能となり、ビームハードニングを抑えた高精度な画像の作成が可能である。当院では、造影検査はすべてGSIを用いて撮影を行っている。以下にいくつか臨床例を提示する。
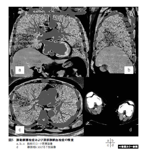
まず、多くの施設が行っている肺動脈塞栓症および深部静脈血栓症の精査について当院の運用を紹介する。造影剤を注入開始後約12秒より肺動脈部に関心領域を置きモニターを始める。造影剤到達後すぐに息止めを行う。なおこの息止めだが、バルサルバ効果により肺動脈の造影効果が下がることを防ぐため安静時息止めを行っている⁵)。造影開始から4分30秒後に下肢静脈の撮影を行う。提出画像について胸部の早期相では、ヨード密度画像を3方向作成しカラー表示にして提供している(図5a、b、c)。GE社ではこのヨード密度画像を“Iodine(Water)” と表現し、ノイズやアーチファクトの少ない画像が提供できる。次に、下肢静脈の評価は造影効果が悪いため、多くの施設で100kVで撮影されている。当院ではGSIを用い40keVの仮想単色X線画像を提供している。このことで造影不良で評価困難となることが少なくなり下肢静脈血栓の評価が容易となる(図5d)。
次に、消化管関連のGSI応用を紹介する。症例はS状結腸癌の術前検査で、単純・造影早期相(図6)・平衡相の3相撮影を行っている。撮影法としては、すべての時相をGSIで撮影している。基本的には70keV画像を提供している(図6a)が、必要時には低keV画像(図6b)やヨード密度画像(図6c)も提供している。図6に示すように、通常の70keV画像でややはっきりしない濃染部位も低keV画像やヨード密度画像を作成し合わせて観察することで造影効果を確信することが出来る。これらの画像処理は従来のdual-energy CTでも対応できていた。Revolution CTに代わりどの様なところが改善されたのかを挙げてみる。ヨード密度画像( 図5c)を見てもらいたい。Revolution CT以前の装置で撮影されたヨード密度画像は、ノイズが非常に目立ち体格の良い方などでは画質の劣化があった。この症例は、BMI27とやや体格が大きいがCTDIvolで11.6mGyとDRLs2020における上腹部~骨盤1相でのCTDIvol75%タイル値16.0mGyや中央値12.8mGyよりも少ない線量で撮影している。低線量で撮影しているにもかかわらず、非常にノイズの少ないヨード密度画像を作成することが可能である。すなわち、GSIでありながら120kV時より低線量かつ良好な画質で多角的な視点で症例を観察することが可能ということとなる。これは、GSI撮影を可能とするために使用されているGemstone ガーネットシンチレーターによる検出効率の良さにより、低線量でありながら診断できる画像を提供することができる。例えば、胸部から骨盤までの撮影においてDRLs2020の75%タイル値は16mGyとなっている。当院における連続110例の中央値でGSI撮影では11mGyとなった。これはDRLs2020に記載されている逐次近似応用再構成法利用に限定した線量分布指標の中央値12.2mGyよりも低い値となっている。この低線量撮影に加えmonochromatic imagingにより多彩な仮想単色X線画像が作成可能である。さらに、肺動脈塞栓症の項目でも記載したように物質弁別による密度画像が高画質となったため、高精度な密度値を取得することが出来、定量評価にも今後期待される。このGemstone ガーネットシンチレーターはGSI撮影に特化しているわけではなく、通常撮影も低線量で検査可能である。加えて2019年に発表されたdeep learningを使用した画像再構成である「TrueFidelity™」を併用することで、画質が劣化することなく更なる低線量での撮影が可能である。先ほどの例と同様に胸部から骨盤までの撮影において連続110例の中央値は8.9mGyとなった。


ユーザーとして
操作者として最も気になるところであろう操作性について記載する。操作性は個人により大きく異なる部分であるので、私個人の意見として読み進めてもらいたい。私のGE社装置に関する使用歴は、Lightspeed VCT、Lightspeed Ultra16、RevolutionCTの3機種である。Lightspeed VCT/Ultra16は同じコンソールでRevolution CTからコンソールが一新された。最も長く使用していたLightspeed VCTはユーザーからの良い評判も多く耳にしており私個人としてもとても使いやすい装置であった。そのため、初めRevolution CTが導入された時はとても戸惑ったことを記憶している。ただ、装置の操作というものは慣れてしまえばさほど苦労はない。そこで、今回はコンソールが変わり良くなったと感じた部分を中心に記載する。まず初めにGSI撮影後の再構成については、dual-energy CTでは様々な再構成画像を作成することが可能である。そのため、1回の再構成キューで1つのパターンしか再構成出来ない従来の方法では非常に効率が悪い。Revolution CTではまず再構成範囲、スライス厚やスライス間隔などの画像の基礎部分を決定し、その基礎部分に従いどの様な画像が必要かを決める。例えば、スライス厚5mmでスライス間隔5mmを基本とし、monochromatic imagingの70・40keV画像、さらにmaterial decompositionにてヨード密度画像を1つのキューで一括再構成(同時再構成)が可能で時間短縮が可能である(図7)。近い将来dual-energy CTが汎用となり多くの再構成が求められたとき、一度に多くの再構成キューを出せるメリットは大きいと思う。これは、実験などデータ収集時においても非常に有用で、実験時は多くの再構成を行うため少しでもそのストレスが減るので私自身も助かっている。

症例の部分でもふれたが、ヨード密度画像の画質が以前の装置と比べ物にならないくらい良くなっている。これまでは、ノイズがやや目立つ画像であったため、70keV画像のような実効管電圧画像とFusionして観察していることが多かった。しかし、Revolution CTになり、ヨード密度画像に限らず脂肪密度画像や水密度画像など様々な物質弁別画像のみで直接画像を観察可能となる程画質が向上している。このため、ワークステーションを使用することなくCTコンソール上でシンスライスの密度画像を再構成しそのままMPR(multiplanar reconstruction)を作成可能である(図6c)。このことは、日常検査にdual-energy撮影が使用可能であることを意味し多くの臨床応用に活躍していくことを可能としている。
ここまでRevolution CTのおすすめを記載したが、臨床使用していて多少であるがあったら良いと思う機能がある。例えば、ガントリーチルトが対応していないため、歯科や耳鼻科領域などで問題となる歯の治療によるメタルアーチファクトを外すことが難しくなる。これに対しては、MAR(metal artifact reduction)を使用することで多くは回避できるが、他社装置と同様に物により消えにくい素材もある。この場合は下顎を上下するなどして対応しているが、今後の機能追加に期待している。
おわりに
今回GE社のRevolution CTについて紹介した。GE社は古くから明確なコンセプトを持ち開発を行っている企業である。私個人の意見としてとらえてみたRevolution CTのコンセプトについて、すべてにおいて高いクオリティで開発されていると感じた。また、Revolution CT導入後にもdeep-learningを使用した画像再構成であるTFIの導入や画質向上に寄与する新たなX線管など次々と進化をしている。今後のCT領域でますます活躍してくれる装置であると期待している。
<文献>
1) Stassi Daniel et al: Automated selection of the optimal cardiac phase
for single‐beat coronary CT angiography reconstruction. Medical
physics 43(1): 324-335, 2016
2) So Aaron et al: Evaluation of a 160‐mm/256‐row CT scanner for
whole‐heart quantitative myocardial perfusion imaging. Medical
physics 43(8): 4821-4832, 2016
3) Li Xiang et al: The Value of Whole-Brain Perfusion Parameters
Combined with Multiphase Computed Tomography Angiography in
Predicting Hemorrhagic Transformation in Ischemic Stroke. Journal
of Stroke and Cerebrovascular Diseases 29(4): 104690, 2020
4) Tanami Yutaka et al: Improvement of in-stent lumen measurement
accuracy with new high-definition CT in a phantom model:
comparison with conventional 64-detector row CT. The international
journal of cardiovascular imaging 28(2): 337-342, 2012
5) 鈴木千晶ほか: 呼吸停止法によるバルサルバ効果が肺血栓塞栓症の造影CT検査 に与える影響について 日本放射線技術学会雑誌 73(4): 273-281, 20