埼玉医科大学総合医療センター 中央放射線部
中根 淳 先生
はじめに
まず、読者の方が誤解を招かないよう事前に断っておきたいことがある。“お気に入り” というフレーズは色々な解釈が出来ると思う。普通は“好み”を表すことが多いのではないだろうか。しかし、私が紹介する“Emotion16” は、診療放射線技師・研究者としての志を育ててくれ、さらに成長させてくれたSIEMENSの16列CT装置である。私の本意は、診療放射線技師として高性能なCT装置を使い、マシンスペックに制限されることなく、依頼医の目的に合致した画像診断に努めたいという気持ちが強い。しかしながら、このCT装置との出会いがなければ今日の私はいないと断言できる。
SIEMENS社製「Emotion16」
Emotion16との出会いは、私が入職して2年目の2007年である。2007年というと大学病院には一般的に64列CT装置が普及し、心臓CTがルーチン検査になりつつある時代である。そんな中、当院はシングルスライスCTの機器更新として、16列のEmotion16が導入された。当時は、Emotion16が当院のフラッグシップ機であった。現場としては64列CT装置の導入を希望している中、16列CT装置とはいえシングルスライスCTで悩まされていたThin sliceの画像再構成が可能となったことや、リアルタイムに再構成画像を見られるようになったことで、私の気持ちは高ぶっていたことを覚えている。ただ、実際“Emotion16” を扱っていくうちに、当院のような大学病院において精密検査やCT angiographyを実施するには、主に管球容量が非力なことがネックとなり、撮影条件の調整が制限され、使用に悩まされるCT装置だと失望感に襲われた時期もあった。導入して15年が経過した今もこのEmotion 16は当院CT検査室の中で2番目に高性能なCT装置なので、CT Angiographyにも対応せざるを得ない。時代背景と共に、CT装置は変わらない中、医師の要求は高まる傾向にある。そのため、検査目的に応じて検出器配列や分割撮影などを考えながら悪戦苦闘しEmotion16
を操っている。今となっては、近隣の施設にはスポーツカーのような高性能なCT装置を保有している総合病院も多くなり、紹介で精密検査目的としてEmotion16という軽自動車で高性能CT以上のパフォーマンスを要求される現状になってしまった。ただ、診療科の医師は、紹介データの画像よりも当院の画像の方が優れているとコメントしてくれており、技師冥利に尽きる。これを実現するには、Emotion16の個性を熟知して性能を最大限に引き出し、さらに検査全体を工夫して行うことで軽自動車でもスポーツカーと対等な検査をしようと絶え間ない努力をした結果であると考えている。この検査の工夫は、高性能なCT装置を保有するユーザーにも役立つ基本的な内容であると考える。そこで、基本となる工夫を抜粋して紹介したい。
工夫①「 固定とノンヘルカルスキャン」
1つ目は、頭部CT検査における固定の重要性とノンヘルカルスキャンの素晴らしさである。16列以上になるとヘリカルスキャンの総撮影時間がノンヘルカルスキャンを上回る可能性が出てきたため、ヘリカルスキャンが頭部CT検査の選択肢となった。さらに、技術の進歩によりデータの倍密サンプリング技術などでヘリカルスキャンの画質が向上したため、ルーチンとして選択している施設も増えてきていると感じる。もちろん、ヘリカルスキャンは、高速撮影、3D、多断面再構成が可能となり、ノンヘリカルスキャンに持ち合わせない臨床的メリットを付与することが出来ると考える。しかしながら、ヘリカルスキャンの選択に関して本質から外れるような目的で使用されることがあるのではないだろうか。その1つが等閑なポジショニングを補うための多断面再構成の使用である。なぜこれが気になるのか私見を記したい。不適切なポジショニングの場合、頭部を多断面再構成で作成することを想定すると、理想的なポジションニングより撮影範囲が長くなる。これにより、撮影時間が長くなり、DLPも増えることは患者さんにとって不利益と考える。撮影時間の延長は、再撮影の確率を高める因子になる。ヘリカルスキャンで再撮影する場合、撮影範囲全体の撮影が行われるのではないだろうか。Emotion16に再撮影になる可能性のある状況でヘリカルスキャンを選択すると、再撮影時は管球容量が制限される可能性が高くなり、それは画質の悪化を意味することになる。平易に言い換えると、再撮影時は線量を下げるか、pitch factorを下げるか、再構成関数でノイズを抑制するかのどれかを選択することになる。図1に例を示す。基準線であるOM Lineの体位が難しいとしてヘリカルスキャンを選択し、多断面再構成でOM Lineの画像を作成した。作成した画像は、義歯の金属アーチファクトによって小脳付近の診断が困難
な画像である。OM Lineの体位が困難な場合でも、ガントリーの傾斜が可能なCT装置では可能な範囲で義歯を避ける撮影が必要である。よって、患者さんを理解して、適切な固定具を用い基準線を合わせて1回の撮影で検査を完了できるように工夫することが大切である。これは基本であるが、高性能なCT装置では甘えが出てきて、技術の進歩が技師の技術怠慢を招いている可能性があると考えている。

工夫②「腹部多時相撮影」
2つ目は、腹部多時相撮影である。腹部検査において、呼吸管理は呼気が一般的である。理由としては、呼吸の再現性が高いためである。呼吸の再現性は、検査の成功率に直結する。しかし、我々の施設ではあえて吸気で腹部多時相撮影を行っている。理由は、吸気撮影により、息止め可能時間が延長する可能性が高まることと、横隔膜が下がることで撮影範囲が短くなり高速撮影が可能となることと、呼気合図に比べて吸気合図はアナウンスに要する時間が短いため多時相撮影間での休止時間が増えることである。図2に呼吸管理と横隔膜の位置の違いを示す。注意点は、呼吸の再現性が低下することであるが、検査前の練習により再現性は向上することが学会でも報告されている。我々も十分に多時相撮影の時は練習をしてから、本番撮影を実施する。このような検査に取り組む姿勢もEmotion16から学ばされる。

工夫③「ポジションニング」
3つ目にポジションニングである。現在のCT装置で体幹部などを撮影する場合CT-AECを使用するのが一般的である。シーメンスでは、CARE DOSE 4Dという機構である。この機構の線量設定は、位置決め画像を基準に決定される。よって、当たり前のことであるが、ガントリーの中心に患者さんを寝かせることが、適切なCARE DOSE 4Dの動作に不可欠である。しかしながら、不適切なポジションによりCT-AECが適切に動作せず、被ばく低減にCT-AECが活用されていないとの報告がされている1、2)。そこで、シーメンスは近年FAST 3D Cameraを開発し、ボタン1つで患者さんを最適な位置にポジションニングできるようになった。Emotion16のような管球容量が十分に備わっていない装置の場合、不適切なポジションは検査を進める上で命取りになる。撮影条件の設定にアラートが出現し、線量が大き
く制限され、ドキドキしながら画像が再構成されるのを待つことになる。ポジションの重要性も気づかせてくれるEmotion16である。
臨床症例からEmotion16を紹介!
次にEmotion16の臨床症例を2つ紹介し、その底力を見ていただきたい。
症例1
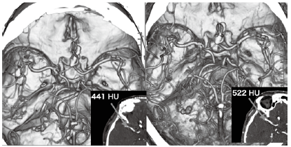
1つ目の症例は、頭部CT angiographyである。A-comの動脈瘤に対してクリッピング術がなされた経過観察の症例で156cm、52kgの女性である。Emotion16において1mmのスライス厚で画像を再構成できる条件で全脳撮影するには約15秒を要する。造影条件としては通常400mgI/kgを15秒注入し、生食を20mL後押ししている。この症例では、70mgI製剤を使用すると、56mLの造影剤が必要になる。この症例は、本番注入中に造影剤皮下漏れがあり、370mgI製剤80mLのうち残量が40mLとなってしまった。腎機能などを鑑みると、放射線科医からは残量で頭部CT angiographyを何とか実施して欲しいとのことであった。そこで、110kVから80kVに管電圧を下げ、造影効果の向上を図り、撮影範囲を限りなく短くし、pitch factorを上げて短時間撮影し、造影条件を4mL/s、40mLで検査を実施した。その結果を図3に示す。今回のイレギュラー撮影と通常撮影を比較し、中大脳動脈レベルにおいて血管内CT値は同等以上であり、診断上支障を来すことのない画像の提供に至った。

症例2
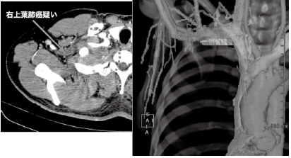
2つ目の症例は、右肺尖部腫瘍に対して、鎖骨下動脈・静脈と腫瘍の位置関係把握目的の検査である。この症例は170cm、70kgの男性であり大柄な体型であった。この検査をEmotion16で実施するには、ポジションと造影条件の工夫が不可欠と考えた。肺尖部は、体幹部を撮影する場合、最も線量を必要とする場所である。よって、しっかりと手を挙上させることで、高速撮影を実施したとしても、線量不足に陥ることを防げる。次に造影条件は、2段階に分けて造影剤を注入することにした。胸部領域においては、通常450mgI/kgの造影剤量で実施している。370mgI製剤だと70kg鎖骨下動脈を通常85mL使用することになる。100mLシリンジを用いると残量は15mLとなり、15mLで胸部領域のCTangiography は困難と判断した。130kVから110kVに管電圧を下げ、造影剤の感度を約20%向上させることで、先行の静脈を濃染させる造影剤量は85mLから20%削減して70mL、CTangiographyに30mLの造影剤を使用することにした。結果的には、1段階目の注入を2mL/s、70mLで注入して注入終了後15秒後に3m/s、30mLで2段階目の注入を行った。これにより、鎖骨下静脈と動脈の間に、CT値が生じ、3D作成を容易にし、血管を区別して作成することが可能となり、依頼医の要望に即した画像提供が可能となった。臨床画像を図4に示す。

Emotion16に磨かれた探究心
最後に、Emotion16との出会いによって、装置の性能に依存しない研究に対するリテラシーを身につけることが出来た。学会にて研究発表を見ていると、多くは新製品や新機能など性能に頼った研究であることが多い。装置が新しくなるとモチベーションがアップし、研究に力を注ごうと考えるきっかけと多く出会うチャンスがある。しかし、このチャンスは、神様からの贈り物に過ぎず、継続力に繋がる可能性は低いと考える。私は、この装置と15年付き合っている。この間に1台64列のCTが導入されたが、今もCT装置のラインナップとしては、16列CTが3台と64列CTが1台で検査を行っている。よって、研究という観点でCT検査を考えると、日頃から探究心を持つことが大切である。しかしながら、CT装置が更新されない中で気持ちを継続させるのはとても大変である。しかし、このような思考過程を身につけられたのは私にとって大きな財産であると今は考えられるようになった。
おわりに
以上、私のお気に入りである“Emotion16” を紹介した。一部、私の記事の中にEmotion16を揶揄するような表現と思われる部分があったかもしれない。しかしながら、15年という歳月を共にした揺るぎない信頼が私とEmotion16との間にあることに間違いはない。そのため、私見として率直な想いを記した。その証拠として、今でも画質に関して、Emotion16は高性能CT装置に劣っていないと感じている。検出器にはX線検出効率とアフターグローに優れる“UFC”、データ収集時には面内分解能の向上に寄与する“Frying Focal spot” が搭載されているからだと感じる。さらに、被ばく低減技術であるシーメンスのCTAEC“CARE DOSE 4D”は、他社のようなノイズ値を指標とするような機構ではなく、扱いにくいと思う方もいるが、私は画像ノイズと画質は異なる指標であり、シーメンスの線量制御機構は最もらしいと感じている。このような今でも通用する技術を一昔前のCT装置に搭載しているシーメンスの技術力には、診療放射線技師・研究者として感謝の言葉もございません。
<文献>
1) Kaasalainen T et al: Effect of vertical positioning on organ dose,image noise and contrast in pediatric chest CT – Phantom study.Pediatr. Radiol 43: 673-684, 2013
2) Saltybaeva N et al: Vertical off-centering affects organ dose in chestCT: Evidence from Monte Carlo simulations in anthropomorphicphantoms. Med. Phys 44: 5697-5704, 2017