札幌医科大学附属病院放射線部
小倉圭史
はじめに
最近の私のお気に入りの製品「移動型デジタルX線撮影装置」と「搬送用マットレス」の2品目を紹介する。全く異なる製品だが共に、心身に優しい製品である。
移動型デジタルX線撮影装置
移動型デジタルX線撮影装置は、「富士フィルムメディカル社製CALNEO AQRO」(図1)である。本システムは「DRカートシステム」、「カセッテ型FPDパネル」、「画像処理技術」から構成される回診撮影装置である。

1. DRカートシステム
DRカートシステム(CALNEO AQRO)はモノクロベースでスタリッシュなフォルムで、サイズは550mm(幅)×770mm(奥行)×1460mm(高さ)」、総重量90kg(管球部分10kg)と小型、軽量の取り扱いしやすい装置である(図1)。4輪キャスターの足回りは、ハンドリングに優れ、その場での回転できるほど操作性が高いため、可動制限のある病棟・病室での移動は非常に助かっている。また、備えられている操作パネルは4軸アームに支持され、回転・チルト・高さ調整が容易でどのような状況でも撮影後、即座に画面を確認できる。その操作パネルはコンソールとX線操作部が一体となっており、患者情報の取得から撮影条件の設定、撮影後の処理(画像の確認、トリミング、画像調整等、および画像転送)を一元的に管理できる。直感的な操作性を持ち、非常に扱いやすいシステムだと満足している。
2. カセッテ型FPDパネル(図2)
カセッテ型FPDパネル(CALNEO FLOW)は、従来タイプよりも軽量化され、側面がシェル型デザインで、持ち手の部分に滑り止めがあり被検者の下へ差し込みやすい構造になっている。サイズのラインナップは、四切サイズ相当(10インチ×12インチ)、半切サイズ相当(14インチ×17インチ)、さらに大きな17インチ×17インチサイズがあり、当院では10インチ×12インチと17インチ×17インチサイズを使用している。17インチ×17インチは画像取得サイズが広いため、大柄な患者、痛みで動作が困難な患者、救急患者など様々な場合においても、撮影部位を欠ける事なく安心して撮影できるようになった。重量は2.5kg程度(バッテリー込)と非常に軽量で取り扱く、持ち運びの際はDRカートシステムのSmartスロットに入れ、充電も同時にできます。また、FPDパネルとコンソールとの接続は無線通信対応可能になり、これまで必要であった外付けのアクセスポイントおよびケーブルが不要になった。

図2 カセッテ型FPDパネル
3. 画像処理技術
散乱線補正処理技術(バーチャルグリッド)は、撮影条件や撮影部位から実際に被写体を透過した際の散乱線量を推定し、散乱線ノイズの抑制、コントラスト改善処理を行い、グリッド使用時のような鮮明な画像を得る技術である。グリッドを使用しないため、軽量で取り扱いやすさが抜群に向上する。さらにベッドの沈み込みやX線が斜入により発生する濃度ムラを防ぐことができる。
回診撮影では、気管内チューブ、中心静脈カテーテル(CVライン、PICC)、胃管(NGチューブ)、胸腔ドレナージチューブなどカテーテル・チューブ類の留置位置や合併症の確認のために行われることもしばしばある。特に経鼻胃管については、気管への迷入、消化管穿孔などの合併症を考慮し、2018年9月に医療事故調査・支援センターより「胃管挿入時の位置確認はX線画像やpH測定を含めた複数の方法で確認することが望ましい」、「ただし、X線撮影を行なったとしても、正確に胃穿孔を示唆する誤挿入を診断できなかった例もある」と提言された1)。そのため、複数名での確認を行い、カテーテル類挿入後の撮影はただ単に先端位置の確認だけではなく、その走行に異常がないか確認しなければない2)。
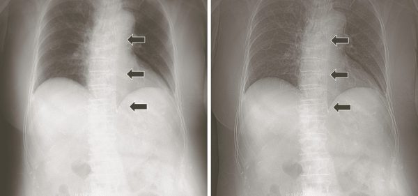
そのためには、カテーテル類の走行から先端までを確認しやすい画像が必要になるが、カテーテル類の不透過性の程度や位置、椎体や骨との重なり具合等により、視認しづらい場合がある。その場合は事前にプリセットされた周波数処理条件を選択することで、視認が可能になる(図3)。

a 周波数変更前
b 周波数変更後
4. 新型コロナウイルス感染症の対応(図4)
このコンパクトで軽量な装置は、新型コロナウイルス感染症例(疑いも含む)に対する撮影にも重宝している。当院では、新型コロナウイルス感染症例(疑いも含む)の一般撮影は、基本的に病棟で撮影を行なっている。撮影は2名で対応し、感染対策を徹底している。図4のように、装置およびカセッテ型FPDパネルはビニール袋で養生する。撮影後の清拭は必須である。本システムはフラットでシンプルなデザインのため、清拭しやすく好評である。このように、新型コロナウイルス感染症例に対しても、安心して対応できる。

a 養生後のX線撮影装置
b 120Lビニール袋の片面をカット
c FPDパネルはビニール袋で2重に包む)
5. 良いことばかりではない?
本製品は前述した通り、小型・軽量で、操作性に富み、男女問わず優しい装置である。しかし、良いことばかりではない。管球アームの可動域が左右15度までしかなく、病室のベッド周りが狭い場合、撮影時の位置合わせに苦慮することもある。また、ベッド横に人工呼吸器等の生命維持装置がある場合やベッド高が高い場合、アーム長が足りないことも経験する。より安全でスピーディな撮影のために、管球アームの可動域の拡大(可能であれば左右90度)、伸縮可能なアームへの改善を期待する。
搬送用マットレス
2品目に紹介する搬送用マットレスは、「SAMARIT社製ロールボード(R-0100)」である(図5)。起き上がれない患者をベッドからCT装置や一般撮影装置等の撮影台へ移乗する際に役に立つ製品である。患者を持ち上げる事なく、移乗する事が可能だ。患者を安全に移乗するためにも、我々の腰痛予防のためにも非常におすすめの製品である。
我々が使用しているロールボードのサイズは「500mm(幅)×1780mm(長さ)」で、二つ折りになる折り畳み式のタイプである。本製品は、携帯に便利な二つ折りになり、軽量(2.7kg)でコンパクトな設計になっているので保管場所も心配はいらない。フレームは弾力性・耐久性に優れたウレタン系の素材、回転するシートは裏面、表面にコーティングが施され、移動性、安全性が高い製品である。また、消毒用クロスで清拭しやすく、衛生面も安心だ。

図5 搬送用マットレス
1. 腰痛対策
患者の移乗には3〜4人の介助者の力が必要である。介助者同士がタイミングを合わせて、バランスを取りながら移乗しなければならない。力があるからと力任せに行うと、安全に移乗する事ができない上、医療従事者も腰痛を誘発する恐れがある。職業性疾患の6割を占める腰痛は医療・介護従事者に多いと言われている3)。そのため、職場内における腰痛予防対策が必要である4)。患者移乗の際に、このロールボードを有効利用する事で、その一助となると考えている。当院では、放射線部のみならず救命救急センター、集中治療室、手術部等にて使用されている。
2. 移乗方法
起き上がれない患者を安全でスムーズに、ベッドからベッドへ移乗させるために考案された製品で、患者を持ち上げる事なく、少人数でも安定した状態で安全に移乗することが可能である。
移乗の原理は、利用者がロールボードに乗る事でフレーム上のシートが回転し、最小限の力でスムーズに移乗する事ができる。
操作は非常に簡便で、実際のベッドから撮影台へ移乗する手順例を紹介する(図6)。

①移乗する患者を浅い側臥位にし、身体の下にロールボードを15〜20cm程度差し込む。
②仰臥位に戻し、ボードに全身を乗せボード上を移動方向へ滑らす。
③移動後、浅い側臥位にして背面からボードを抜き取り、仰臥位に戻す。
まとめ
今回は私のお気に入りの製品として、医療従事者および患者の心身に優しい製品「移動型デジタルX線撮影装置」と「搬送用マットレス」の2品目を紹介した。
拙い文章を最後までお読みいただいて誠にありがとうございます。少しでも参考になったら幸いである。
<参考>
1) 一般社団法人日本医療安全調査機構: 栄養剤投与目的に行われた胃管挿入に係る死亡事例の分析. 医療事故の再発防止に向けた提言 2(6): 2018
2) 松本純一 ほか: 本当は教わりたかったポータブル胸部X線写真の読み方─サクッと読めて、ガツンとわかる7日間特別講義─. 23-70, メディカルサイエンスインターナショナル, 2019
3) 松本 學 ほか: 病院職員の腰痛アンケート. 日本腰痛学会雑誌 7(1): 73-78, 2001
4) 厚生労働省: 職場における腰痛予防対策指針の改訂及びその普及に関する検討会報告書. 2013